مستشفى الدكتور سليمان الحبيب بالقصيم ينهي معاناة “قطرية” مع انحراف بالعمود الفقري بجراحة معقدة

بفضل من الله تعالى وتوفيقه، أنهى مستشفى الدكتور سليمان الحبيب بالقصيم، معاناة شابة عشرينية مصابة بانحراف مضاعف ومتطور في العمود الفقري ” الجنف”، إذ نجح الفريق الطبي الذي قاده د. صلاح الدين خليفة استشاري جراحة العظام والعمود الفقري، ود. هاني الجهني استشاري جراحة المخ والاعصاب، في إجراء عملية معقدة استمرت زهاء الـ”4″ ساعات، لتقويم العمود الفقري وتثبيت ودمج الفقرات.
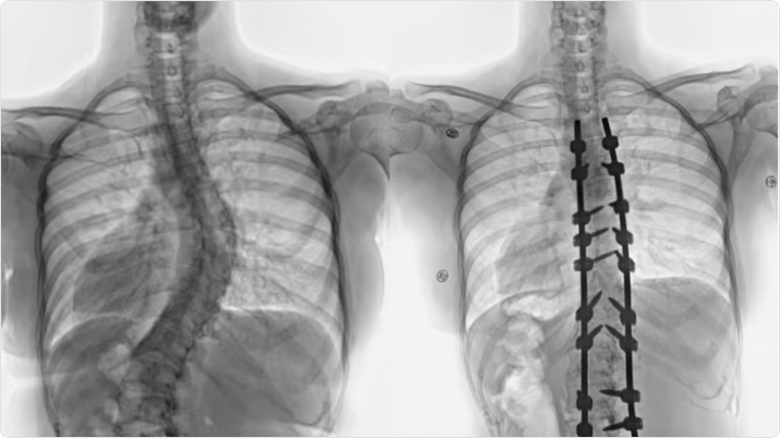
وقال د. خليفة أن المريضة راجعت المستشفى وهي تشتكي من انحناء جانبي للعمود الفقري منذ صغرها، بدأت مؤخراً تعاني من آلام بالظهر، إضافة إلى صعوبة في ممارسة الحياة الطبيعة، أدت هذه الأعراض إلى تغيير نمط حياتها والحد من حركتها، وفور وصولها إلى المستشفى أجريت لها التحاليل والفحوصات الطبية الدقيقة، التي بينت إصابتها بحالة انحراف “جنف” مضاعف بدرجة الـ”60″ للفقرات الصدرية، ودرجة 50 للفقرات القطنية ودرس الفريق الطبي الحالة على ضوء نتائج الفحوصات والتحاليل، وخلص إلى ضرورة التدخل الجراحي لعلاج العيوب، والحد من المضاعفات، وبعد اتخاذ كافة التدابير الطبية اللازمة لمثل هذه الحالات المعقدة، أخضعت الشابة لعملية جراحية، تم فيها تقويم العمود الفقري بعدد “20” من البراغي والقضبان المعدنية والطعوم العظمية الصناعية وتثبيت ودمج الفقرات، واستخدمت في العملية التي استمرت لـ”4″ ساعات، مع فريق تخدير متمرس ومراقبة أعصاب وفريق تمريض ماهر إضافة الى مجموعة من أحدث الأجهزة الطبية التي ساهمت مع الكوادر الطبية عالية الكفاءة والتأهيل بالمستشفى في إنجاحها.
ونقلت المريضة الى جناح التنويم بعد العملية، وبدأت حالتها في التحسن باضطراد بعد خروجها من غرفة العمليات، إذ استطاعت المشي بتوازن بعد أقل من “24” ساعة من العملية مع فريق العلاج الطبيعي المتمرس، واستعادت قدرتها على الاستلقاء والنوم على ظهرها، فضلاً عن القوام والمظهر الطبيعي، بعد تعديل وضعية الحوض والكتف، كما أن طولها مع النجاح الكبير للتعديل زاد بحدود “3” سم، وخرجت من المستشفى وهي بصحة جيدة، وتوقع أن تستعيد كامل عافيتها سريعاً مع الإنتهاء من برنامج العلاج الطبيعي.
يذكر أن مستشفى الدكتور سليمان الحبيب بالقصيم يضم أفضل الكوادر الطبية المؤهلة تأهيلاً علمياً عالياً وذوي خبرات عملية كبيرة، بالإضافة إلى تجهيزه بأحدث الأجهزة والمعدات الطبية، مما أهله لتحقيق العديد من النجاحات الطبية اللافتة، إذ أنه حاصل على شهادة اللجنة الدولية لاعتماد المستشفيات JCI ، واعتماد المركز السعودي لاعتماد المنشآت الصحية CBAHI، إضافة إلى اعتماد الجمعية الأمريكية لعلم الأمراض CAP.



