بعد متابعة حالة الجنين أثناء الحمل … قسطرة قلبية لمولود بقلب القصيم

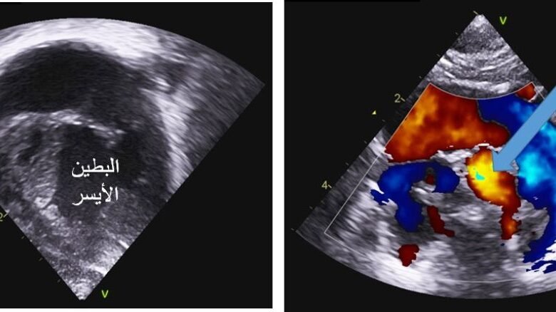
أجرى الفريق الطبي بمركز الأمير سلطان لطب وجراحة القلب بالقصيم في قسم الأطفال قسطره قلبيه لمولود ( وحيد والديه )بوزن 2.9 كجم ، في اليوم 3 من الولادة كان يعاني من رتق كامل للصمام الرؤوي مع صغر شديد في حجم البطين الأيمن ماأدى إلى عدم وصول الدم إلى الرئتين إلا عبر القناة الشريانيه الموصله بين الشريان الابهر والشرايين الرؤويه ، وبعد الفحوصات الطبية قرر الأطباء عمل القسطره قلبية وذلك بوضع دعامة على القناة الشريانيه لضمان وصول الدم إلى الرئتين وتغذية الجسم بالأوكسجين ، واستمر وقت القسطره 30 دقيقه
وحالة المولود مستقره وبعد الإطمئنان على حالة الطفل تم خرجه من المستشفى في اليوم الثاني بعد القسطرة وهو بصحة جيده ولله الحمد .
الجدير ذكره انه تم تشخيص هذه الحاله أثناء الحمل بواسطة الفريق الطبي المتخصص في قسم قلب الاطفال بالمركز ، بعمل تصوير قلب الجنين بالموجات فوق الصوتية وتم متابعة الأم أثناء الحمل وتنسيق موعد ومكان الولادة ، كما تم فحص المولود مباشرة بعد الولاده وتأكيد التشخيص و إعطاءه العلاج المناسب ، كما أجرى المركز خلال الخمسة أشهر الماضية أكثر من 151 قسطرة قلب للأطفال .
وأكد الفريق الطبي بمركز الأمير سلطان للقلب بالقصيم أن هذه الإجراءات تعتبر إجراءات مؤقته لمثل هذه الحالات لإحتياجه إلى جراحات قلب أخرى في المستقبل بإذن الله . نسأل الله الشفاء والعافيه لجميع المرضى.



